
지난 시간에 이어 이번에는 영구치의 맹출(喷发)에 대해서 설명하겠습니다.
지난 기사: http://www.psychiatricnews.net/news/articleView.html?idxno=4303
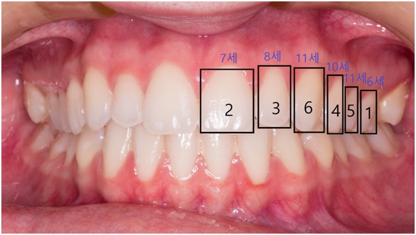
가장 먼저 맹출하는 영구치는 제1대구치로 유치 어금니의 뒤쪽에서 자라나게 됩니다. 치과 의사들은 ‘6세 구치’라고도 많이 부르고 있죠. 명칭에 걸맞게 6살에 맹출이 시작됩니다. 치아는 크기의 성장이 이루어지지 않기 때문에 아이들의 입에 비해서 매우 큰 치아가 불쑥 나오게 되므로 어색해 보일 수도 있습니다. 사실 이 순간부터 부모님들이 아이의 치아에 대하여 적극적으로 관심을 가져야 하는 순간입니다. 영구치는 대체할 수 없는 치아이기 때문에 맹출에 영향을 미칠 수 있는 구강 내 염증, 충치, 맹출 장애 요소에 대해서 본격적으로 알고 예방해야 합니다.
<영구치 맹출 시기 도표>

영구치가 제대로 맹출하기 위해서는 유치를 적절한 시기에 발치하는 것이 필요합니다. 영구치가 턱뼈 속에서 맹출하기 시작하면 유치의 뿌리는 녹기 시작합니다. 뿌리가 점점 녹아서 자연적으로 유치가 흔들릴 때 발치하는 것이 좋습니다. 하지만 대부분의 부모님들이 정확히 어떤 순간에 뽑아야 하는지 모르고 치과에 내원하는 경우가 많습니다.
부모님들이 고려해야 하는 사항은 대략적인 영구치 맹출 시기입니다. 몇 살 때 어느 치아가 나야 하는지를 알고 계시다가 적정 시기가 되어도 흔들리지 않는 유치를 발견한다면 치과에 내원해서 검사를 시행해야 합니다. 빠질 시기가 되었는데도 남아있는 유치는 영구치의 맹출뿐만 아니라 턱뼈의 대칭적 성장에도 영향을 미칠 수 있기 때문이죠. 도표에 나타난 정확한 맹출 시기는 외우기가 어렵기 때문에 나이에 따라 어떤 치아가 나오는지 그림으로 대략적인 맹출 순서를 알아두시면 좋습니다.
<영구치의 맹출 순서>

유치 주변의 염증이나 충치도 영구치의 맹출에 악영향을 미칠 수 있습니다. 충치가 심해서 신경 염증이 생기거나 잇몸 염증 때문에 고름이 발생하면, 하방의 영구치에 손상을 일으켜 정상적인 맹출 및 발육이 이루어지지 않을 수 있습니다. 적절한 조기 치료를 통해서 증상을 완화시킬 수도 있지만, 만약 계승되는 영구치의 맹출 시기가 가까워져 오고 있다면 발치하는 것도 좋은 방법이 됩니다. 혹여나 영구치 맹출을 방해하는 턱뼈 속의 문제도 –물혹, 과잉치, 양성 종양- 존재할 수 있으니 방사선 사진을 찍어보는 것도 매우 중요합니다.
영구치 맹출을 저해하는 가장 큰 문제는 역시나 맹출 공간이 부족한 것입니다. 지난 글에서 언급했다시피 유치열의 치아 사이 공간은 매우 정상적인 현상입니다. 다음 두 사진을 보면 오른쪽 아이의 치열이 더 고른 것을 볼 수 있습니다. 하지만 성인이 되어서는 과연 누가 더 고른 치아를 가지게 될까요?

유치 사이에 충분한 공간을 가진 왼쪽 아이는 영구치를 수용할 수 있는 여유가 있지만 오른쪽 아이는 공간 부족으로 뒤틀린 앞니를 가지게 될 확률이 높습니다. 어머니들의 “우리 아이는 아주 예쁜 아기 치아를 갖고 있었는데 이상해요.”라는 하소연을 듣게 되는 거죠.
맹출 공간은 턱의 성장이 부족해서 발생할 수도 있습니다. 턱이 정상적으로 자라지 못하는 데에는 유전적 요인, 습관적 요인, 질병 등의 다양한 이유가 있습니다. 영구치가 나오기 시작하면 대략적인 턱의 성장에 대한 검사를 시행해 볼 수 있으며 성장이 본격적으로 시작하는 시기와 맞추어 성장 교정을 시행해 준다면 좀 더 쉽게 치열을 바로잡을 수 있는 기회가 될 수 있습니다.
영구치는 평생 하나밖에 없는 소중한 치아입니다. 아이뿐만 아니라 부모님들도 큰 관심을 가지고 적절한 시기에 치과검진을 받으러 오시기를 부탁드립니다.
