
가슴은 원래 비대칭이 맞습니다. 통계마다 차이는 조금 있지만, 약 80% 정도의 여성들에서 왼쪽 가슴이 더 큰 것으로 알려져 있습니다. 그런데 건강 검진 후 말하는 비대칭은 단순히 이 가슴의 크기를 말하는 것은 아닙니다. 이번 시간에는 건강 검진 후 듣게 되는 비대칭 음영이라는 것에 대하여 한 번 알아보겠습니다.
비대칭이라는 말은 알고 계실 것이고, 음영이라는 것은 유방 촬영상에 보이는 그림자를 말합니다. 비대칭 음영은 유방 촬영 결과에 대칭적이지 않은 어떤 부분이 존재하는 경우를 말하는 것이지요. 조금 더 세분화하면 4가지의 경우로 나누어 볼 수 있습니다.

1. 유방의 크기나 형태가 전반적으로 비대칭적인 경우가 있습니다. 여러 가지 이유로 인하여 한쪽 유방만 발달하였다거나, 반대로 발달하지 않은 경우 또는 형태가 전반적으로 대칭적이지 않은 경우를 말합니다. 어렸을 때에 한쪽 가슴에만 방사선 치료를 했다거나 혹은 선천적인 원인으로 이런 경우가 생깁니다.
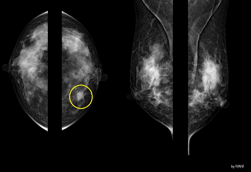
2. 비대칭 음영이 1개의 촬영 면에서만 보이는 경우가 있습니다. 우리 나라에서는 유방 촬영을 기본적으로 2번씩 하게 됩니다. 즉, 오른쪽 2번, 왼쪽 2번 이런 식으로 진행하게 됩니다. 그러면 한쪽 유방에 2개의 촬영 면이 생기게 되는데 이 2개의 촬영 면 중에서 하나에만 무엇인가 보이게 되면 비대칭 음영이라고 합니다.
3. 구조적 왜곡이라고 말하는 경우가 있습니다. 구조적 왜곡은 말이 조금 어려운데, 국소적으로 유방의 일부 부위에서 별이 모양이나 혹은 그물 모양으로 뻗어나가는 듯한 부분이 보이게 되면 그 부분의 구조가 왜곡, 즉 뒤틀려 있다고 하게 되고 질병의 유무를 확인하게 됩니다.
4. 국소적 비대칭 음영이 보인다고 표현하는 경우가 있습니다. 이런 경우는 위의 2번과는 달리 유방 촬영 면 2곳에서 모두 보이는 경우를 말하는데, 이 부분이 정말로 어떤 혹인지는 알 수가 없어 이렇게 표현합니다.

이런 결과가 나오게 되면 사실 정상이라고 보기는 어렵습니다. 추가 검사를 꼭 해서 문제가 없는 것인지 확인해봐야 합니다. 이런 결과가 나오면 해볼 수 있는 검사는 다음과 같습니다.
1. 다른 각도로 유방 촬영을 더 해볼 수 있습니다. 다른 각도에서 촬영을 해보게 되면 유방의 음영들이 보이지 않거나 혹은 잘 보이게 되면서 진짜 혹인지를 구분할 수 있게 됩니다. 최근의 단층 영상 합성(Tomosythesis)이라고 하는 촬영을 하기도 합니다.
2. 비대칭 음영 부위를 국소적으로 더 눌러서 찍는 촬영을 해볼 수 있습니다. 단순하게 유방 조직이 겹쳐져 음영으로 보이는 경우에는 이러한 촬영법(spot compression)이 도움이 되지요.
3. 초음파 검사를 해볼 수 있습니다. 결국 1번과 2번을 통해서 무엇인가가 있다면 초음파 검사를 하여 확인하게 됩니다. 그렇기 때문에 처음부터 초음파 검사를 하는 것도 나쁜 선택은 아닐 것입니다.
비대칭 음영이라는 검사 결과는 전체 환자의 약 3-5% 정도가 경험하는 진단입니다. 아주 흔한 것은 아니지만, 이런 결과가 나오게 되면 의사들은 긴장하게 되지요. 너무 걱정하실 필요는 없지만, 일부 음영의 경우는 암을 강력하게 시사하는 경우도 있습니다. 꼭 추가 검사를 받으셔서 괜찮은 것인지 확인하고 안심하시면 될 것 같습니다.
