
지난 여름휴가 기간에 건강검진을 하신 분들이 결과를 우편으로 받고 계시는 것 같습니다. 환자분들이 결과지를 가지고 병원을 방문하고 계시거든요. 어제는 한 분이 약간 흥분하시면서 진료실을 들어오셨습니다.
“선생님, 건강 검진 결과지에 가슴이 석회화되었다는 것이 무슨 말인가요? 암이 딱딱하다는데 그렇게 되어 가는 것인가요?”
저도 깜짝 놀라서 결과지를 보았더니 유방 촬영 후 발견된 석회화에 대하여 언급한 부분이 있었는데, 환자분이 깜짝 놀라서 오신 것이었습니다. 건강 검진을 받고 나면 그 결과에 대하여 자세하게 설명을 받는 경우가 별로 없고 서면으로 통보만 가기 때문에 이런 일이 생기는 것 같습니다. 건강 검진의 맹점이기도 하지요. 그래서 오늘은 유방 촬영 후 종종 듣게 되는 석회화에 대해서 한 번 알아보고자 합니다.

석회화란 무엇인가요?
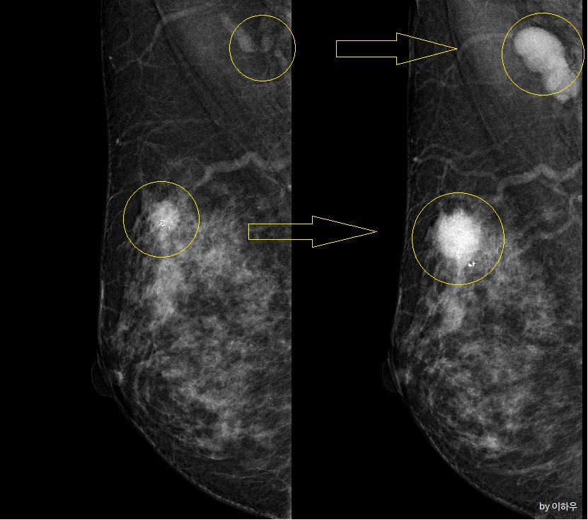
유방의 석회화는 칼슘이 축적되어 생긴 것이라고 생각하시면 되겠습니다. 마치 뼛가루처럼 생각하시면 더욱 쉽습니다. 유방에 석회화가 있는 환자는 85%에 육박한다는 보고가 있습니다. 나이가 많아지면서 석회화는 점점 증가합니다. 없던 분도 생기지요. 유방암의 약 절반 정도의 환자가 유방에 석회화를 가지고 있으며 조직 검사를 하게 되면 약 15-30% 정도가 암이 나오게 됩니다. 즉, 대부분이 양성 석회화이지만 암을 의심하게 하는 석회화도 존재한다는 뜻입니다.
석회화는 거대 석회화(Macrocalcifications)와 미세 석회화(Microcalcifications)로 나뉩니다. 일반적으로 0.5mm 이하의 석회화를 미세석회화라고 합니다. 그보다 크면 거대 석회화라고 생각하시면 될 것 같습니다. 대부분의 거대 석회화는 양성질환입니다. 암과는 관련이 거의 없습니다. 문제는 미세 석회화입니다. 미세석회화라고 하여서 꼭 암과 관련이 있는 것은 아니지만, 그 수가 많거나 어떤 특정한 패턴을 보이는 경우에는 유방암을 의심하게 되고 추가 검사를 시행하게 됩니다.
석회화는 증상이 있나요?
석회화는 특별한 증상이 없습니다. 석회화가 있다고 하여 유방이 단단해 지는 것은 아니며, 석회화가 있다고 하여 통증이 있지도 않습니다. 대부분은 무증상인 상태로 유방 촬영을 통하여 알게 됩니다.
왜 이런 것들이 생기나요?
몇 가지 원인이 있지만, 대부분은 교정이 불가능한 요소들입니다. 나이가 많아지면서 점점 생기게 됩니다. 유방 안쪽에서 염증이 생겼다거나 외부로부터 충격을 받아서 생기는 경우도 있습니다. 그렇지만 가장 무서운 원인은 암덩어리입니다. 즉, 암이 생겼기 때문에 석회화가 보이는 것이지요. 칼슘을 많이 먹는다고 하여서 석회화가 증가하지는 않습니다.
건강검진에서 석회화가 보인다고 하면 어떻게 해야 하나요?
가장 중요한 것은 유방 촬영상 석회화가 보일 때입니다. 개인적으로도 석회화는 긴장하게 하는 단어입니다. 석회화가 보이게 되면 크게 3가지의 경우로 나누어서 진료를 하게 됩니다.
1. 양성(Benign) 석회화라고 언급이 되어 있는 경우에는 큰 걱정하지 않으셔도 되겠습니다. 추가적으로 다른 검사를 하실 필요는 없으며 정기적으로 변화를 관찰하시면 되겠습니다.
2. 아마도 양성(Probably benign) 석회화라고 나오는 경우에도 크게 걱정하실 필요는 없습니다. 이런 경우에 암이 발견될 확률은 2% 미만으로 알려져 있고, 이런 경우에는 보통 6개월 뒤에 한 번 더 확인해 보게 됩니다. 그 후에 문제가 없다면 정기적으로 유방 촬영을 하시면 되겠습니다.
3. 의심스러운(Suspicious) 석회화의 경우에는 대부분 추가 검사를 받아보라고 되어 있을 것입니다. 즉, 건강 검진 결과지에 추가 검사를 받아보라고 되어 있는 경우에는 반드시 추가 검사를 받아 보셔야 합니다.

오늘은 유방 촬영 후 발견되는 석회화에 대하여 알아보았습니다. 여성분들의 85% 정도가 경험하는 흔한 증상이므로 잘 알고 계셨다가 검사 시기를 놓치는 일이 있어서는 안되겠습니다.
