
아름다운 미소는 건강한 치아와 잇몸이 존재해야 가능한 일입니다. 교과서적인 미소 라인과 구강 구조를 가진 사람을 꼽자면 ‘앤 해서웨이’가 생각나기도 합니다. 하지만 대부분의 사람들은 어느 정도는 비대칭적인 구강 구조를 가지고 있으며 해부학적으로도 몇몇 결함이 보이기도 합니다. 그렇지만 선천적인 결함도 문제가 되지만, 후천적으로 생기는 요인들도 무시할 수는 없습니다. 특히 나이가 들어갈수록 구강 조직의 퇴축이 발생하게 되는데 이로 인하여 심미적인 문제가 많이 생기게 됩니다. 가장 대표적인 예가 치아 사이에 검은 삼각형의 공간이 생기는 것이죠. 치과 의사들은 black triangle이라고 부르고 있습니다.
이러한 현상의 원인은 매우 다양합니다. 나이가 어린 경우에는 부정교합, 교정 후 부작용, 외상 등을 들 수 있지만 나이가 점차 많아질수록 치주염 (풍치)에 의하여 생기는 경우가 많습니다. 잇몸질환이 심한 경우의 예를 사진으로 보겠습니다.

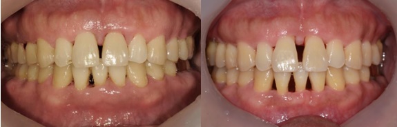
이 환자의 경우는 중증 만성 치주염으로 내원하였으며 왼쪽 사진은 치료 전의 사진입니다. 이후 잇몸치료를 통하여 염증 상태를 개선한 후의 사진이 오른쪽입니다. 처음 내원하였을 때에 치아 사이의 틈이 많이 벌어져 있는 상황이었습니다. 그런데 치료 후에는 잇몸의 붓기가 빠져서 틈이 더욱 많이 벌어져 있는 상황입니다.
기본적으로 잇몸은 잇몸뼈에 의해서 지지되고 있는 조직입니다. <사진 1>의 잇몸은 염증의 붓기에 의해서 억지로 치아 사이 잇몸이 유지되고 있는 상황이지만 다시 건강한 잇몸으로 돌아온다면 <사진 2>와 같이 내려앉게 되는 것입니다. 방사선 사진을 보시면 더욱 이해가 빠르실 겁니다.

연두색 선은 정상 잇몸뼈의 높이를 나타내며, 빨간색 선은 현재 환자의 잇몸뼈 수준을 보여줍니다. 거의 2/3 정도의 잇몸뼈가 염증으로 인해 녹아내린 상황입니다. 이 상황에서 연하고 말랑말랑한 잇몸은 버티질 못하고 주저앉게 되는 것이죠.
그렇다면 치아 사이의 이런 공간은 어떤 식으로 대처해야 할까요? 나이가 어리고 잇몸뼈가 튼튼한 경우에는 치료 옵션이 매우 다양합니다. 레진 충전, 교정, 보철, 잇몸 이식 등 각자 치과의사마다 다른 치료 컨셉을 갖고 접근하며 치료의 예후도 좋은 편입니다. 그러나 치주염으로 인하여 잇몸뼈가 녹아내린 경우에는 사실상 근본적인 치료 방법은 거의 없습니다. 원인이 잇몸뼈의 상실인데 현재의 치의학에서는 빨간 선의 잇몸뼈를 녹색 선의 잇몸뼈로 만들 수 있는 치료법이 없기 때문입니다. 대신 대체적인 치료법으로 치아의 모양을 새로 만들어주는 보철 치료가 효과적으로 쓰이고 있습니다.

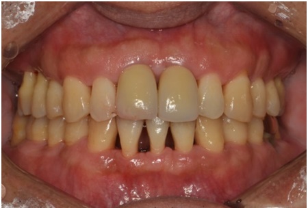
<사진 3>에서는 벌어진 앞니를 보철을 이용하여 심미적으로 수복한 모습을 볼 수 있습니다. 그러나 앞니가 너무 길어졌다는 점과 좌우 폭이 두꺼워져서 양치질하기에 불리한 형태를 띠었다는 것은 한계점으로 꼽을 수 있습니다. 특히 어금니 쪽에 생긴 틈을 보철치료로 메꾸려고 하면 양치질하기에 매우 불량한 형태를 띨 수 있으며 치주염의 악화에 영향을 주기도 합니다.
평균적으로 30대 중반 이후부터 치주염이 많이 발생한다고 합니다. 나이가 들어 감에 따른 자연스러운 현상이라고 생각하실 수도 있지만 치아 사이의 틈은 치주염의 신뢰성 있는 사인이 될 수 있습니다. 잇몸뼈는 한번 소실되면 거의 되돌아오지 않습니다. 특히 치아 사이 틈의 잇몸뼈와 잇몸의 소실은 심미적, 기능적으로 환자들을 괴롭히게 마련입니다. 환자들 자신의 dental IQ를 높이고 좀 더 적극적인 치과검진을 받아 보는 것이 어떨까요.
