
살면서 충치치료 한번 받지 않는 사람은 거의 없을 것입니다. 저도 나름 치과의사로서 구강위생관리를 철저히 한다고 하지만 몇 군데 충치치료를 피해갈 순 없었습니다. 치과의사로서의 자존심을 걸고 신경치료까지는 받지 않겠다고 결심하고 구강위생관리를 더욱 철저히 하고 있죠. 잊을 만하면 다시 나타나는, 우리를 괴롭히는 충치에 대해서 이야기해보고자 합니다.
충치는 기본적으로 세균성 질환입니다. 제가 다른 글에서 언급했던 잇몸질환과 원인이 같죠. 사람의 입속은 정말 엄청나게 다양한 세균의 번식지라고 보시면 됩니다. 매일매일을 다양한 음식물과 이물질이 거쳐가는 데다가 따뜻하고 습한 환경도 갖춰져 있는 그야말로 세균에게 있어서는 의식주가 전부 제공되는 복지국가 같은 공간이죠. 물론 사람의 입속이 세균에게 호락호락하지만은 않습니다. 타액과 잇몸의 조직액에서는 다양한 항균 물질들이 분비되어 세균의 작용을 억제하고 있죠. 하지만 자가 자정작용에 의해 세균이 억제되기에는 너무나 많은 양과 많은 종류의 세균들이 매일 쌓여갑니다. 이렇게 많은 세균들은 기계적이고 물리적인 청소를 통해 제거를 해 주어야 합니다. 양치질 말이죠.

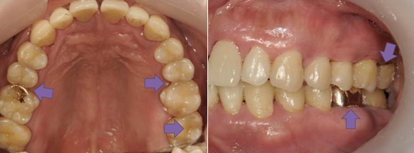
하지만 대도시에는 슬럼가가 있듯이 입속에도 세균들이 숨어 사는 공간이 아주 많습니다. 다음 사진은 나름 구강 위생관리에 자신이 있으셨던 분의 사진입니다. 잇몸도 문제이지만 아주 많은 부위에서 충치가 발생할 수 있는 위험요소를 발견할 수 있습니다. 왼쪽 화살표부터 살펴볼까요.

- 금 인레이 하방
- 어금니 사이
- 어금니 씹는 면의 고랑 (groove)
- 금 크라운
- 위 어금니와 잇몸이 맞닿는 부분
이 외에도 수많은 세균의 번식처가 될 수 있는 부분들이 있지만 가장 충치가 많이 발생하는 부분 위주로 골라봤습니다.
많은 성인 환자분들은 치아의 평평한 면만 양치질을 하는 경향이 있습니다. 정작 평평한 면은 자정작용이 활발히 이루어지기 때문에 충치가 잘 안 생긴다는 점이 아이러니하죠. 치아의 사이와 어금니의 고랑이 일차적으로 충치가 가장 많이 생기며 양치질도 잘 되지 않는 곳입니다. 하지만 예외로 5번을 보시면 위 어금니와 잇몸 사이에 노란 치태가 가득 차 있는 모습이 보이실 겁니다. 충분히 칫솔을 깊숙이 넣지 못했다는 증거이며, 언제 치아 뿌리 충치가 생길지 걱정이 앞서는 장면이죠.

또한 많은 환자분들이 도대체 인레이 및 크라운 치료를 한 곳에 왜 충치가 다시 생기느냐고 묻습니다. 저는 항상 충치치료는 충치를 예방하는 것이 아니며, 치과용 재료는 충치에 훨씬 더 약하다고 말씀드립니다. 충치치료를 받으면 충치가 안 생길 거라는 잘못된 믿음을 반드시 버리셔야 합니다. 다른 신체 부위가 아프면 조심히 다루고 관리하듯이, 치아도 마찬가지로 대하는 것이 합리적인 생각일 겁니다.
‘원래’ 잇몸이 나쁘다거나 치아가 나쁜 사람은 아주 극소수입니다. 그런 나쁜 잇몸과 치아를 가진 환자들 중 상당수는 대부분은 유전적인 질환을 타고난 경우가 대부분이죠. 결국 세균성 질환은 환자들은 자가 관리가 조금 부족했다고 생각할 수 있겠습니다. 세심한 자가 관리와 함께 정기적인 치과의사의 진료 및 시의 적절한 치료가 도와준다면 건강한 치아를 오래오래 보존할 수 있겠습니다.
